山口県下関市のインプラント・審美歯科 山崎歯科クリニック

 



  トップ > 審美歯科 > 審美総合

審美歯科>審美総合



審美総合

あらゆる材料やテクニックを組み合わせて、総合的にアプローチすることにより、より審美的で、なおかつ長持ちする治療が可能になります。私どもは、歯の形態だけでなく、歯の位置や歯茎の形までを考慮に入れた治療を行っています。長持ちさせるために歯周病の治療を行い、噛み合わせも治したりします。
たとえば、冠を入れる前に手術で歯茎の形態を調和の取れた形にしたり、矯正処置を行った後に冠を入れることにより、より美しい治療が可能になります。
特に、ちょっとした歯周形成外科を行うことにより、見違えるほどきれいなる場合が多々あります。逆に言えば、そのような治療ができなければ審美歯科とは言えません。









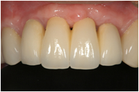
【審美総合:施術前】 【審美総合:施術後】

症例の説明

左上と右下の奥歯がなくなり、そのために前歯が磨り減って噛み合わせが低くなっています。歯のないところにインプラントを埋め噛み合わせを回復して、すべてセラミックで治療しました。治療前に比べて大変美しい歯になりました。









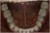
【審美総合:施術前】 【審美総合:施術後】

症例の説明

歯周病があり、不適切な治療のため歯並びがガタガタになっています。歯周病の治療を行い、歯のないところにはインプラントを埋めて全体に整った美しい歯並びになりました。
歯周病のある場合は治療が難しくなりますが、炎症と力のコントロールを行い、なおかつ患者さんが満足するような審美的な治療を行っています。











【審美総合:施術前】 【審美総合:施術後】


症例の説明

全体に歯並びが悪く、前歯は開いた状態で奥歯しか当たっていません。そのため奥歯の負担が大きくなり痛くてかめなくなっていました。
上顎の前歯、奥歯、下顎の奥歯にインプラントを埋めて、下顎の前歯は矯正治療を行い歯をよい位置に並べた後に全体をセラミックで治療しました。
きれいになったのはもちろん、良く噛める様になったとよろこんでいただきました。









【審美総合:施術前】 【審美総合:施術後】

症例の説明

全体が歯周病でガタガタになっています。上顎の奥歯と下顎の全ての歯は抜歯せざるを得ませんでした。抜歯した部分にインプラントを埋め、歯周病の治療を行い、全体をセラミックで治療しました。下顎の歯は1本も残りませんでしたがインプラントを用いることでよく噛めるようになりました。


(c)2005 YAMASAKI DENTAL CLINIC. All Rights Reserved.